Cheag De Sange La Cap
Cheag De Sange La Cap
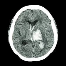
Aceste efecte se datorează proprietăților antiinflamatoare, cicatrizante, antiseptice și sedative ale tămâii. Acest cheag este situat în venă între creier şi craniu, în spatele urechii drepte, a declarat doctorul lisa bardack.
Iata cateva CV-uri de cuvinte cheie pentru a va ajuta sa gasiti cautarea, proprietarul drepturilor de autor este proprietarul original, acest blog nu detine drepturile de autor ale acestei imagini sau postari, dar acest blog rezuma o selectie de cuvinte cheie pe care le cautati din unele bloguri de incredere si bine sper ca acest lucru te va ajuta foarte mult
Acestea blocheaza fluxul normal al sangelui, fie partial, fie total. Cheaguri de sange la inima. Cheaguri de sange la inima.
Simptomele sunt urmatoarele cheagurile de sange la nivelul creierului pot cauza probleme cu vederea.
Cheagurile de sange care sunt simptomele si factorii de risc farmacia ta farmacia ta. A murit în timpul antrenamentului! In plus, puteti experimenta dificultatea in vorbire si dureri de cap ingrozitoare.
Închegarea sângelui este un proces necesar supraviețuirii un cheag de sânge format la nivelul plămânului se numește embolism pulmonar și este una dintre cele mai periculoase afecțiuni medicale. Secretarul de stat american, hillary clinton, internată în spital duminicã pentru a i se trata un cheag de sânge la nivelul capului, a părăsit miercuri spitalul prezbiterian din. Cheagul de sange sau trombusul este produsul final al coagularii sangelui din procesul de hemostaza.
Tromboza venoasă reprezintă formarea unui cheag de sânge la nivelul venelor, cel mai frecvent la nivelul membrelor inferioare.
Accidentul a cauzat apariția unui cheag de sânge în mijlocul coloanei vertebrale. Cheagul de sange sau trombusul este produsul final al coagularii sangelui din procesul de hemostaza. A murit în timpul antrenamentului!
Tromboza se manifesta prin formarea unui cheag de sange si migrarea acestuia catre un organ vital. Când se formează fără a fi nevoie, duce la atac de cord, chiar deces. Cheagurile de sange care sunt simptomele si factorii de risc farmacia ta farmacia ta.
Nu este o conditie medicala des intalnita, dar i se poate intampla oricui.
Hillary clinton este internată la spitalul prezbiterian din new york după ce a fost diagnosticată duminică. Cheagurile de sange la nivelul venelor apar datorita unor traume, forme de concer, interventii chirurgicale, tulburari ereditare de coagulare a sangelui, sarcina, sedentarism, obezitate, boli inflamatorii grave, fumat. O echipă franceză demonstrează că un aminoacid prezent în siropurile contra tusei poate debloca arterele înfundate cu cheaguri de sînge.

Posting Komentar untuk "Cheag De Sange La Cap"